This site is intended to provide cutting-edge health information. Nothing on this site should be interpreted as personal medical advice.
Always consult with your doctor before changing anything related to your healthcare.
Hi, I’m Dr. Fred Pescatore for Logical Health Alternatives…
I’m going to introduce myself properly in a moment…
But first, I’d like you to take a look at the document I’m holding in my hand.

It was written in secret by Manhattan Project scientists at Los Alamos just days after Hiroshima…
And outlines a secret about the bombing our US government kept classified for almost 80 years.
In the next 3 minutes, you’re going to see information the US Military and mainstream medicine would rather keep hidden.
How the contents of this single document helped to launch a radical shift in Japanese cancer research…
Resulting in the discovery of an astonishingly powerful natural cancer treatment.
It comes in a tiny pill, the size of an everyday gelcap.
But you’ll witness deadly tumors shrunk away to nothing with the help of this one simple secret…
And...
(If you were born on or before Jan 1st, 1970 you NEED to see this).
You’ll also learn why it’s being used by cancer patients throughout Japan right now…
While deep state bureaucrats have banned the truth about this breakthrough from even being advertised in the US.
But most importantly…
You’ll hear how you can be one of the few American citizens to get it for you or a family member (it’s so much easier than you’d think).
I know, this is a lot to process…
So let’s get started right away.
Years before the bombing of Hiroshima…
Robert Oppenheimer and his Manhattan Project scientists researched, studied and planned every aspect of the bombing.
But THIS recently declassified document describes something NO ONE had expected.
Not the US military, not President Truman… not even the Manhattan Project scientists themselves.
And after 8 decades of secrets…
It’s time you finally see the truth.
This once highly classified document, details the existence of what scientists called “Freak Survivors” within the blast radius of the atomic bomb…

People who by all accounts should have been killed instantly…
But miraculously… were very much alive.
The ones closest to the initial blast would die within days or weeks from radiation poisoning.
But, between Hiroshima and Nagasaki, there were hundreds of thousands, found farther from the blast site, who survived…
The Japanese referred to them as the Hibakusha.
Which, in Japanese, means “bomb-affected-people”.
Now, you might be tempted to think of them as lucky…
And they were, at first.
But as the years went by…
Doctors found these folks started suffering from an epidemic of deadly cancers.
Thousands upon thousands of these survivors were being diagnosed with cancers of the bladder, breast, brain, lung, liver… you name it.
In response to this new tidal wave of deadly disease, Japanese researchers and scientists became laser focused on one thing…
Saving atom bomb survivors from cancer.
They launched a nationwide research effort that included tens-of-thousands of survivors…
And the brightest minds in Japanese medicine.
It was nothing short of a medical revolution in Japan…
And it was in the midst of this brand-new era that… Japanese researchers found it.
It’s completely natural…
But it comes from a strange place.
It’s a chemical compound extracted from a strange little Japanese mushroom that grows quietly in the dark.
But friend, if you or a loved one is currently battling cancer, it may also just be the answer to your prayers.
It’s currently being used by hundreds-of-thousands of patients, in hundreds of hospitals throughout Japan…
And the results?
Nothing short of amazing…
One trial showed that post-surgery liver cancer patients treated with Hiro-45 had a 9-year survival rate of 80%...
Almost double that of patients treated with conventional therapies alone. Yes, DOUBLE!
But don’t worry, Hiro-45 treats much more than just liver cancer…
It’s also been used successfully against some of the deadliest cancers imaginable including stomach, colon, lung, breast, kidney and pancreatic cancers… just to name a few.
Even better, Hiro-45 has been clinically proven safe, effective, and side-effect free.
But to get a full sense of why Hiro-45 could change the face of cancer treatment as we know it…
You have to see it in action…
Because this is where things get truly incredible.
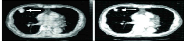
Haruki is a 70-year-old resident of Osaka, Japan.
Not long ago, Haruki was enjoying his retirement, when he got some terrible news.
He was diagnosed with inoperable lung cancer.
CT scans showed the tumor growing bigger every day…
Then, as is a common practice in the Japanese medical system…
Haruki added Hiro-45 to his treatment regimen.
Within two months his tumor had shrunk to half the size.
By eight months it was barely visible on CT scans.
You can see them here…


Then there’s Jiro Tanaka...
Jiro was just 55 when he was diagnosed with cancer of the esophagus…
The tumor was so big it practically blocked his entire windpipe.
Having watched a brother suffer through and eventually die from cancer surgery years before…
Jiro added Hiro-45 to his treatments instead.
After just 4 months of treatment, the huge tumor in his throat had virtually disappeared!
So you may be wondering…
How is it boosting survival rates and destroying tumors big enough to block an entire windpipe?
To understand that, let me show you something else the Japanese researchers discovered while studying atom bomb survivors…
Because it’s truly amazing.
They found that their exposure to radiation during the bombing was rapidly draining their immune systems of crucial T-cells…
You can think of T-cells like an enhanced surveillance system that alerts your body that cancer has invaded…
And orders it to attack.
Without T-cells, deadly cancer can sneak in, grow and spread throughout the body.
But friend, this is where it gets really scary…
That same drop in cancer fighting T-cells doesn’t just happen in atom bomb survivors…
It happens to anyone with an aging immune system…
And it’s why a terrifying 80% of all cancers are diagnosed in people aged 55 and older…
The Japanese researchers even noted that atom bomb survivors’ immune systems mirrored those of aging patients.
And that’s exactly why scientists are so excited about Hiro-45…
And why if you’re 55 or older, you NEED to hear this next part.
Because studies show Hiro-45 can do two things that conventional cancer therapy simply can’t…
First, it takes dead aim at “Elder Immune Syndrome” …
REVERSING the effects of aging on our immune systems…
And boosting those life-saving T-cells by an unheard of 200%.
Next, those souped-up T-cells alert a cancer hunting army in your body, known as natural killer cells, to seek-and-destroy deadly tumors…
In fact, studies show Hiro-45 boosts natural killer cell activity by up to a mind-blowing 150%.
These fired-up natural killers swarm cancer cells like a school of hungry piranha, tearing them apart piece by piece… [Insert animated graphic here – maybe a before/after Hiro-45?]
All while leaving your healthy cells untouched.
Something chemo and radiation simply can’t do.
But Hiro-45 doesn’t stop there…
It goes one incredible step further…
How?
Well, if you’re 55 or older…
Your worries unfortunately do NOT end once the cancer is gone…
With your weakened immune defenses…
Cancer can come roaring right back…
And usually much worse than before.
If you or a loved one has ever battled cancer, then you know…this is what keeps you up at night.
That’s why doctors were so excited when they studied hundreds of cancer patients and found that…
Yes, you heard that correctly… it cuts cancer recurrence IN HALF.
Simply put, it helps stop cancer from coming back…
One of cancer patients’ biggest fears… GONE.
And perhaps best of all…
With Hiro-45, there are no devastating side effects …and it there’s hardly anything to it…
Just a simple, natural pill…
Again, it’s the size of an everyday gelcap.
Simply pour yourself a glass of water and swallow it down. It’s that easy.
So you’re probably asking yourself…
With a solution capable of shrinking some of the deadliest tumors known to science…
Doubling the survival rates compared to mainstream therapies…
And stopping cancer from coming back…
Why haven’t you heard of this?
Friend, the answer is going to make you angry.
Because it’s not like Hiro-45 has been hiding…
Again, it’s currently helping to save the lives of cancer patients in hundreds of hospitals throughout Japan…
Over a dozen researchers from around the world have been presented with excellence awards for their life-saving work with Hiro-45…
And it’s also incredibly easy to find…
In fact, you could be holding it in your hands within 24 hours. (More on that in a moment).
But here’s the problem…
Deep state bureaucrats desperate for Big Pharma campaign handouts…
Have decided you shouldn’t know the truth about Hiro-45…
Why?
Because Hiro-45 is completely natural…
It wasn’t concocted in a lab…
And because it’s already trademarked in Japan…
Big Pharma can’t slap a patent on it themselves, and sell it for hundreds of thousands of dollars like other Big Pharma cancer drugs.
In fact, if it were widely known that Hiro-45 were so easily available…
And so cheap…
It could sink the hundred-billion-dollar cancer industry like a stone.
Which is likely why FDA bureaucrats have completely BANNED all advertising of Hiro-45 as a cancer treatment…
So desperate US cancer patients who need it most, don’t know it’s an option…
And only a handful of lucky Americans even know Hiro-45 exists…
But friend, today you can become one of those lucky few.
Because we don’t sell or make one dime from Hiro-45…
So we’re free to give you the God’s honest truth about what it’s capable of.
And today, that’s exactly what we’re going to do.
Including what it is…
And how to easily find it in the US.
Through a special offer only available in this video.
It all starts with a brand-new complimentary report called The Hiroshima Secret: A senior’s guide to surviving cancer
This all-inclusive FREE report was put together by one of America’s foremost experts on Hiro-45…
Me.
Allow me to introduce myself again… I’m Dr. Fred Pescatore.
And aside from being one of only a handful of physicians to publish a book on Hiro-45 in the United States…
I’ve also used this groundbreaking treatment to successfully treat cancers of all kinds in my private practice.
I run an exclusive clinic that caters to everyone from hardworking Americans, to international royalty—who travel hundreds (sometimes even thousands) of miles to visit me for one-on-one appointments.
I travel the country giving lectures to packed auditoriums around the country on subjects just like you heard today.
And I’ve spent over 3 decades studying, researching and practicing medicine around the world alongside some of today’s most well-respected physicians...
And that’s exactly how I discovered Hiro-45.
Inside your exclusive Hiroshima Secret report, you’ll find everything you need to put it to work for you or a loved one… today.
What it is…
How much you should take…
And how you can easily have it in your hands within 24 hours.
But I have even better news for you today…
The Hiroshima Secret is just one of dozens of reports we’re giving away today…
They’re all collected in a digitally mastered, 300 plus page book called Declassified Cures: The Truth behind Nature’s Most Powerful Hidden Secrets.
Inside you’ll find details on natural solutions for today’s deadliest diseases…
Including more on cancer, Alzheimer’s, diabetes, heart disease, arthritis and much much more…
Just like Hiro-45… these are solutions with the power to change the course of medicine as we know it…
As well as cost Big Pharma hundreds of billions in bottom line profits…
Which is exactly why they’ve been hidden, suppressed and even banned from being advertised…
And that’s why I couldn’t be more excited to finally offer you Declassified Cures FREE of charge…
Because YOU deserve to know the unfiltered truth.
And we’ve reserved a copy of this one-of-a-kind book just for you.
This 341 page free book is filled from cover to cover with safe, natural treatments mainstream medicine simply isn’t telling you about…
For example…
Did you know there’s a natural Alzheimer’s treatment that helps clear plaque inside the brain by up to 200%? Multiple scientific studies have already shown how it works. (page 123)
Have you heard European scientists are currently reversing… yes reversing… diabetes in just 12 weeks…without dangerous drugs or medication of any kind? (page 222)
And did you know that a small group of doctors have found a natural way to actually regrow damaged joints? It’s easing arthritis in up to 90% of patients, and it works with no surgery, no drugs and no side effects. (page 79)
And this is just a tiny sampling of what you’ll find inside.
I think you do.
I’ve seen these treatments work for my patients firsthand and that’s why I’m publishing full details in this free 341 page book of natural cures.
But it’s only available through this exclusive video.
I’m going to explain exactly how you can reserve your very own copy of Declassified Cures (at no charge) in just a moment.
But first, I want to tell you a little more about what you’ll find inside…
If there’s one message that I want to convey with this book, it’s that poor health IS NOT a “normal” symptom of aging.
Your body has the ability to treat and heal almost every condition naturally… no matter what your age.
Including one of today’s most feared diseases… Alzheimer’s.
And this isn’t just hype…
Scientists were recently stunned to discover a simple protein found inside every one of our bodies could change the way we treat the disease forever…
Why? Because…
They’re known as “heat shock proteins”.
And if you or a loved one are currently dealing with Alzheimer’s…
Then you’re about to see why they’re one of the most exciting new weapons in treating the disease to come along in decades.
First, studies show they work to break up and clear away Alzheimer’s signature amyloid beta plaques in the brain …
To prove this, researchers in Germany recently bred worms to produce amyloid plaques throughout their body…
And then filmed the results.
The worms were packed with so much AB (the highlighted white dots in this video clip) that they could barely move.

But once the heat shock proteins are introduced, the AB plaque is cleared away and the now healthy worm moves about freely…

as you can see in these before and after video screen shots.

But what you’re about to hear next is the real reason these amazing simple proteins are changing everything…
Studies show heat shock proteins are also able to do something that no Alzheimer’s drug on the market can do…
Clear away what’s known as “Tau” plaque buildup inside the brain.
Why is this such a big deal?
Because scientists are now considering tau buildup even more damaging to the brain than AB…
In fact, more and more they’re pointing to tau plaque as…
This realization is so new that there’s currently only one drug going through FDA trials with this ability …
But the results it’s getting are remarkable.
In its most recent phase III trial, patients taking only this tau-clearing drug showed an unheard of 80% reduction in the progression of Alzheimer’s …
MRI’s showed their brain atrophy had slowed to a crawl …
In fact, for some patients…
They were more engaged with their families.
The wife of one patient described how he suddenly got up and fixed the garden fence… which he’d needed to do for years!
Again, this was the first and only drug to target tau plaque buildup in the brain …
And to put these results in perspective… this is the first time any drug has been able stop brain deterioration in Alzheimer’s patients… PERIOD.
So why haven’t you heard about it?
Because this new “wonder drug” has already been stuck in trials for a decade... and could be stuck there even longer.
But luckily, there’s a natural tau-clearing breakthrough that you can put to work for you or a loved one with Alzheimer’s RIGHT NOW.
We call it Tau-Pro.
And it works by boosting a very specific tau-clearing heat shock protein by up to an amazing 200%.
Even better, it does this with no side effects whatsoever.
Because it would cost them billions in potential profits.
But you’ll learn every last detail about this natural Alzheimer’s breakthrough on page 123 of your 341 page free book.
I’ve been using Tau-Pro successfully with my own patients for years…
And now, I’m revealing everything inside your personal copy of Declassified Cures.
But we’re still just scratching the surface...
This 341 page FREE book is filled with countless natural cures and secrets that upend decades of modern medical thinking...
For example, did you know that in 2013...
It was the largest grant of its kind ever awarded and they received it for proving that diabetes can be 100% reversed...
Patients in their landmark study actually started producing insulin at normal levels again...
Completely on their own!
Without dangerous drugs, without non-stop exercise... and without life-altering gastric bypass surgery.
Even better, it can be done in at as little as 8 weeks!
As one of the doctors involved in the original study put it...
And people who were lucky enough to try this new method experienced night and day transformations in their health.
People like James Ryan…
James had only one thought when he was diagnosed with diabetes... “Why me?”
He had never been overweight, exercised regularly and didn’t drink excessively...
But now he was being told that within 10 years he could be completely dependent on insulin shots... it could affect his sight, heart and limbs and gave him a 36% greater chance of early death.
He was determined to find a solution... and after days of research he heard about this newly discovered method.
And it completely changed his life. As he tells it…
His glucose levels had gone from above the diabetic threshold of 6.0 down to just 4.1...
And 7 months later his levels were still normal...
According to James his stunned doctor looked at the numbers and confirmed, “The diabetes has resolved itself.”
And this method is working for patients much worse than James.
Kevin Carol sometimes gets emotional when telling his story
At 53 Kevin was diabetic, overweight and at death’s door.
He had just suffered a heart attack, his eyesight and kidneys were failing and he even faced the horror of a potential toe amputation.
But just two months after trying this breakthrough method he was 100% cured and 18 months later he’s still healthy.
That’s right...
And Kevin and James are far from the only ones. In fact, in one study, 81% of the patients remained completely diabetes-free.
So why haven’t you heard about this?
Because despite the amazing results, it was only a small trial study... The millions they were awarded went towards conducting a much larger study that could take years.
But here’s the good news...
I’ve been using a virtually identical method to rid my patients of diabetes for decades...
And getting the exact same results.
That’s why I’m revealing every last detail of this scientifically studied diabetes breakthrough on page 222 of your 341 page free book.
Inside…
and most importantly, without completely giving up delicious foods you love.
I’ve helped countless patients lose weight, defeat diabetes and get off medication for good... and now it’s your turn.
Imagine, after years of struggling with diabetes, being able to rid yourself of this deadly disease in just 8 weeks…
You’ll find out exactly how you can do it all inside your free copy of Declassified Cures…
I’ll tell you exactly how to claim your free copy in just a second but first let me tell you my revolutionary approach to one of America’s most chronic epidemics...
Arthritis.
If you’re currently suffering from arthritis pain of any kind then you’ve probably been given three options...
Pills, physical therapy or surgery.
But I’ve been soothing arthritis pain for years with a little known 4th option that’s the closest thing I can think of to a cure.
And in the next few minutes you’re about to see why...
Why?
For starters, the American Medical Association itself presented research in which 82% of patients reported their pain was reversed..
In more recent studies patients report success rates of over 90%!
It doesn’t matter where your pain is located, what you’ve tried in the past or how long you’ve been suffering...
This natural breakthrough is simply changing the lives of nearly everyone who tries it.
Take Fred Cousins...
Fred was a marine who saw 29 months of combat in Vietnam. He also spent five years as a prisoner of war at the infamous Hanoi Hilton.
Due to the physical cruelty he endured as a POW, many of his joints were permanently injured... leaving him in severe chronic pain.
The worst was his shoulder which he couldn’t even hold up any longer.
But after just 6 weeks of this breakthrough natural treatment, Fred’s shoulder pain was gone.
As he puts it...
And Fred wasn’t the only one.
After a bad car accident left Jane Silva’s knee was in such excruciating pain she could barely sleep...
She started talking with doctors about three different knee surgeries...
But at a friend’s prompting she decided to first give this cutting-edge natural treatment a try.
And as Jane puts it...
This life-changing treatment has been shown to work on virtually any type of pain and any part of the body including back, knees, hips, fingers, shoulders, neck and so much more...
And the secret is all in how it works.
It doesn’t simply mask the chronic pain of arthritis or injuries like drugs and supplements do…
Or rely on metal pins and total joint replacements like surgeries.
Damaged cartilage, ligaments and collagen are all repaired and replaced with healthy new tissue through a natural healing process that begins deep within your joints.
Imagine being able to walk confidently up the stairs with no wincing knee pain…
Bend easily to tie your shoes without stabbing pain in your back and…
Grip grocery bags tightly without weakness and aching pain in your fingers.
It could all be possible, without the help of drugs, surgery or physical therapy of any kind.
I’ve seen it happen with my patients for decades and now I’m releasing full details on page 79 of your very own FREE copy of Declassified Cures.
But we’ve still only scratched the surface of what you’ll find inside…
On top of the treatments we’ve already discussed…
You’ll also find page after page filled with suppressed solutions Big Pharma is praying you’ll never discover, like...
The 33-cent immune booster that blocks everything from the common cold to swine flu! This is one of the strongest natural immune boosters available. It also works great for ear infections, allergies, fibromyalgia and so much more. (page 7)
How to drive down sleep-stealing cortisol levels by 80% with this natural nighttime miracle. This sleep breakthrough also dramatically improves mental stress, quality of sleep — even mood and energy levels. Get full details in chapter 6. (page 83)
The “wine barrel secret” to treating chronic fatigue. Studies of this cutting-edge natural treatment show significant improvement in chronic fatigue symptoms in as little as just 4 weeks! (page 101)
One natural trick to boosting memory in just one hour! The science behind this is simply amazing. Aside from boosting memory in just one hour, this natural breakthrough is also shown to dramatically improve focus, reasoning skills and alertness. Get full details in chapter 22. (page 205)
How to naturally slash annoying hissing and ringing in your ears by up to 62%. If you suffer from tinnitus then you know the frustration of doctors telling you there’s nothing they can do. Well, it turns out there is something you can do and you’ll discover the scientific research that’s changing everything in chapter 2. (page 14)
The 20-minute outdoor trick to slashing high blood pressure. This one seems almost too simple to be true but scientists have compiled over 34 studies and 155,000 patients that proves it works! (page 26)
But the natural solutions you’ll find in this free book aren’t only included because of how simply they work…
They’re also chosen because they work just as well or better than any drug you’ll find on the market… without the dangerous side effects.
Inside you’ll discover…
The natural migraine solution that “accidentally” helps you lose weight. A recent trial found that this natural pain reliever worked just as well as a popular drug but with none of the unwanted side effects like day-time sleepiness and weight gain… in fact patients taking this actually lost weight. (page 93)
15 drug-free ways to have “honeymoon sex” at any age! Why put up with the dangerous side effects of Viagra and Cialis when you can supercharge your libido, maintain firm healthy erections and boost your stamina naturally? Get full details in chapter 7. (page 97)
A statin-free blueprint for avoiding heart attack and stroke! The risks and side-effects of statins are enormous and well-documented. That’s why your free gift includes an entire blueprint with techniques shown to plummet your risk of heart disease by up to 70%. (page 166)
And in addition to the countless natural healing breakthroughs for things like Alzheimer’s, cancer, arthritis, heart disease, Parkinson’s, and so much more…
You’ll also discover medical tests that are cheaper and more effective than the same old, tired options offered by mainstream medicine.
For example…
Right now, you can get a simple $15.00 test that predicts future heart attacks with 99% accuracy! Wouldn’t you want this kind of warning if you or a loved one were in imminent danger? No one is talking about this…but the results could give you a just-in-time warning—or peace of mind (page 179)
The life-saving prostate test that’s more accurate than the PSA at predicting high-grade prostate cancer. If your last PSA reading was between 2 and 10, and you’re wondering what to do…call your doctor about this test now. (page 29)
The most important blood test your doctor isn’t giving you. Recent studies have discovered a specific blood marker that’s even more important than cholesterol and triglycerides for predicting your heart health but amazingly doctors still aren’t automatically testing for it. Find full details in chapter 19. (page 170)
At 341 pages, Declassified is by far the largest free gift we’ve ever offered.
Because it’s filled with countless natural solutions that could cost Big Pharma hundreds of billions in bottom line profit…
They’ll likely do anything to get this offer scrubbed from the internet.
And you won’t find it available in stores or online.
But for the next 24 hours we’ve reserved a FREE copy in your name.
The information on every single page was painstakingly cultivated from one specific source…
A natural healing publication unique in the history of modern medicine led by myself and a trusted team of health experts.
It’s known as Logical Health Alternatives.
And it’s published each month for a very specific and exclusive audience in mind…
An audience who isn’t afraid to question the one-size-fits-all recommendations from today’s mainstream medicine…
An audience that wants a second chance at life and reviving their health…
An audience who can handle the unfiltered truth.
And when you click below and accept this invitation for membership into this exclusive organization…
We’ll rush you your very own FREE copy of Declassified Cures.
Each month, members of Logical Health Alternatives get a front row seat to some of the most cutting-edge natural discoveries as they occur…
Why?
Because when I’m not busy treating patients at my private clinic…
I’m traveling to places as far off and diverse as Dubai, Rwanda, Kenya, Sardinia and Japan to discover the world’s most cutting-edge natural treatments.
And as President of the International and American Associations of Clinical Nutritionists…
I get access to these natural breakthroughs sometimes years before they trickle out to the mainstream.
But with your subscription to Logical Health Alternatives, you won’t have to wait… as soon as I know, you’ll know.
And to get an idea of what these drug-free, natural solutions can mean for your life...
You don’t have to look further than what current members of Logical Health alternatives are saying…
Bye Bye, Wheelchair!
“I'm 75 and thought I was going to have to use a wheelchair. Now I can walk, climb stairs, and even exercise without pain. Dr. Fred has given me a new lease on life!”
—Gerry Saxon, Greenville, South Carolina
Menopause Symptoms GONE!
“It was like Dr. Fred was speaking directly to me! Now I've lost weight, and 90% of the side effects of menopause are gone. I honestly can’t thank him enough.”
—Tara Hestings, New York, NY
Metabolic Syndrome GONE!
“I’ve lost about 75-80 pounds, and kept it off now for two years. My cholesterol is 163. My blood sugar is NORMAL. Blood pressure 110/80. People at work keep telling me ‘Jack, you look 25 years younger!’”
—Jack Birney of Princeton, New Jersey
Off Medication!
“After giving Dr. Fred Pescatore a try, I am a new man. I am no longer on any blood pressure medication. My cardiologist is amazed.”
—Sam Tessler, Dallas, Texas
Miracle Worker!
“I visited Dr. Fred and in under a month, my hot flashes, moodiness, and insomnia disappeared. Dr. Fred, you are a miracle worker!”
—Barbara Goldman, White Plains, New York
With each new issue of Logical Health Alternatives, you’ll begin to understand what these lucky members already know…
Poor health is not a symptom of growing old!
You can enjoy a healthy sex life and keep that spark alive well into your 70’s, 80’s and 90’s…
You can play golf without pain and garden without stiffness…
You can keep a razor sharp memory and stop living in fear of cancer, regardless of family history.
Over 45,000 subscribers are already finding out how.
All you need to do is click below and start your subscription to Logical Health Alternatives right now.
When you do, we’ll not only rush you out your very own free copy of the 341 page Declassified Cures…
You’ll also have peace of mind knowing your subscription is fully covered under…

We want you to be completely comfortable with your order…
So if for any reason, at any time you’re not satisfied with your subscription… feel free to cancel.
We’ll refund every last cent for your remaining issues… no questions asked.
And don’t worry, even if you decide to cancel… you can feel free to keep your 341 page gift with our compliments.
It’s yours no matter what.
And that’s not all!
That’s right, when you click below and reserve your free 341 page book right now… we’ll also rush you:
Fast Reply Bonus #1: Beyond The Blue Pill—Your personal guide to satisfying sex at any age. This free bonus report shows you safest, simplest ways to enhance your sex life without resorting to dangerous drugs. Inside you’ll learn about…
3 common culprits that sabotage your sex life
The biggest erection killers hiding in your kitchen
3 corner stones to rock hard erections
6 natural breakthroughs to restore lost virility
One drug-free trick to triple your sexual satisfaction
Fast Reply Bonus #2: 120/80 Now!—Your worry-free blood pressure blueprint. This free bonus report cuts through the rumors and simplifies one of the most complicated health issues out there. Inside you’ll fine full details on…
2 mainstream BP meds to avoid at all costs
3 common hypertension symptoms to never ignore
7 cutting-edge, drug-free treatments for hypertension
The single biggest BP secret your doctor likely isn’t telling you
Fast Reply Bonus #3: Aging Younger: Shocking truths about “growing old” the medical industry doesn’t want you to know. If you only read one thing I’ve written, please make it this report. But a warning, it’s not for the faint of heart. It reveals some of the biggest mainstream medical lies told by doctors every day. Lies that are so ingrained in our everyday thinking that some find the truth difficult. But inside you’ll also learn specific natural ways to defy aging like…
The natural “wrinkle eraser” that slows down aging in your skin
The simple “food swap” cheat sheet to aging younger
The single worst food for speeding up the aging process
7 natural secrets for younger smoother skin
Each of these reports has a value of $19.95 but when you place your order right now, you’ll get all three completely free of charge…
And yes, they’re also covered under our guarantee. So you’ll get to keep these and Declassified Cures even if you cancel.
So your order today is completely risk free!
But remember, Declassified Cures is a direct threat to Big Pharma’s hundred-billion-dollar bottom line…
I will not be surprised if they take action to shut this down.
So you need to click below right now in order to reserve your copy.
Inside you’ll find full details on everything we’ve discussed today including…
The Hiro-45 Cancer miracle that’s stunning oncologists
The Tau-Pro Alzheimer’s treatment that helps clear plaque inside the brain by up to 200%?
The UK diabetes solution that works in just 12 weeks…without dangerous drugs or medication of any kind?
The natural arthritis breakthrough that soothes arthritis pain in up to 90% of patients
All you need to do is click below to place your order now and we’ll rush you this enormous free gift along with your 3 fast reply bonus reports… completely risk free!
This is without a doubt our biggest free offer EVER, so we expect demand to be through the roof…
Click below right now to reserve your exclusive gifts while they’re still available!
We’ll rush you a copy online immediately, so you can dive in right away.
Just click below right now to take advantage of this exclusive offer and start your subscription today!
Sincerely,
Dr. Fred Pescatore
Logical Health Alternatives